Öffnungszeiten:
Montag - Freitag
nach telefonischer Vereinbarung

Terminvereinbarung:
MO-FR 8:00-16:00
Tel.: 02572/20514
ordination@mrt-mistelbach.at

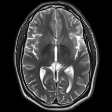
  • Schädel & Gehirn Schädel & Gehirn
  • Hals Hals
  • Wirbelsäule Wirbelsäule
  • Brust Brust
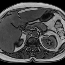
  • Bauch / Abdomen Bauch / Abdomen
  • Dünndarm Dünndarm
  • Kleines Becken & Unterbauch Kleines Becken & Unterbauch
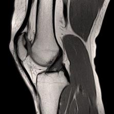
  • Gelenke & Skelett Gelenke & Skelett
  • Gefäße Gefäße

Impressum | Datenschutzerklärung | Kontakt | Anfahrt | Downloads | Jobs